Nuestro equipo de SPORT LIFE trabaja para manteneros en forma e informados y ahora, con la caída de los ingresos por publicidad, necesitamos más que nunca vuestro apoyo. Hazte Prémium pinchando en este enlace, desde solo 1 € al mes (1º mes gratis) y estarás haciendo posible que sigamos elaborando estos contenidos, a la vez que disfrutas de artículos exclusivos, navegación sin anuncios y contenidos extra solo para suscriptores.
Deportista, tu corazón está que arde. Es el músculo que se encarga de bombear la sangre y mantener la vida en los diferentes tejidos y órganos. En la actividad física juega un papel protagonista, permitiendo una actividad vigorosa y mejorando el rendimiento, pero el deporte al mismo tiempo logra mejorar este importante músculo, generando adaptaciones que optimizan nuestra esperanza de vida.
El corazón en datos
- El corazón pesa entre 200 y 425 gramos y es un poco más grande que una mano cerrada.
- Cada día se contrae 100.000 veces, lo que supone bombear más de 7.000 litros de sangre diarios.
- Bombea aproximadamente 4,5 litros de sangre por minuto.
Situación
El corazón está en el centro del pecho, sin embargo su latido se oye con más fuerza en el lado izquierdo puesto que está ligeramente inclinado hacia la izquierda y golpea contra ese lado del pecho.
Gasto cardiaco
En reposo el corazón late unas 70 veces por minuto, y cada vez que lo hace bombea 70 mililitros de sangre, cada minuto bombea más de 4 litros de sangre, es lo que se conoce como gasto cardiaco. Durante el ejercicio puede llegar a los 30 litros por minuto.
Presión arterial
Los latidos del corazón mantienen una presión en la sangre contra la pared de las arterias, vital para para que circule por los vasos sanguíneos y aporte el oxígeno y los nutrientes a todos los órganos y músculos.

Ciclo cardiaco
Un ciclo cardiaco está formado por una fase de relajación y llenado ventricular (diástole) seguida de una fase de contracción y vaciado ventricular (sístole).
Con un estetoscopio, se distinguen dos ruidos: el primero corresponde a la contracción de los ventrículos con el consecuente cierre de las válvulas auriculoventriculares (mitral y tricúspide). El segundo corresponde a la relajación de los ventrículos con el consecuente retorno de sangre hacia los ventrículos y cierre de la válvula pulmonar y aórtica.

Dos circulaciones, dos corazones
La circulación es un sistema cerrado compuesto por dos circuitos. El circuito menor que corresponde a la circulación pulmonar encargado de llevar a los pulmones la sangre pobre en oxígeno y retornarla al corazón purificada con oxígeno. El circuito mayor o circulación sistémica, es impulsado por el ventrículo izquierdo y aporta sangre oxigenada a todos los tejidos.

Adaptaciones cardiacas al ejercicio
La actividad física demanda una mayor energía y aporte de oxígeno y el corazón se adapta con un llenado mayor y con el incremento de las contracciones. Si el ejercicio es mantenido a largo plazo, se generan adaptaciones estructurales para mejorar su potencia y eficacia.
Frente a lo que durante muchos años se consolidó como un hecho irrebatible, esto es, que se desarrollaban corazones de gran tamaño en corredores de resistencia aeróbica, hoy día, debido a la mejora de las técnicas de imagen podemos afirmar que, aunque es cierto que se produce de forma fisiológica un aumento del tamaño del corazón (hipertrofia cardíaca) como resultado de los años de entrenamiento, este crecimiento se enmarca en los límites considerados normales en el ámbito clínico. Es decir, el entrenamiento de resistencia aeróbica no justifica universalmente hipertrofias del corazón por encima de los límites clínicos establecidos.
El corazón del deportista de larga distancia se caracteriza por tener unas paredes (músculo cardiaco) fuertes y algo hipertrofiadas, con cámaras amplias (ventrículos y aurículas) para poder albergar un elevado volumen de sangre y proyectarlo con fuerza hacia todo el árbol vascular. Pero quizás la adaptación más importante y a la vez decisiva del corazón de un deportista de resistencia aeróbica radique en su capacidad para llenarse fácilmente de sangre (lo que se conoce técnicamente como distensibilidad). Podemos decir que el corazón de una persona entrenada cardiovascularmente, es un corazón fácilmente distensible (elástico), de cavidades amplias y a la vez fuerte en su contracción. En definitiva, un corazón capaz de llenarse más (en comparación con el de una persona sedentaria) y contraerse de forma más fuerte, llevando así más sangre oxigenada hacia todos los tejidos del organismo.
En especialidades de fuerza, como en halterofilia, el músculo cardiaco genera adaptaciones mecánicas por sobrecarga de presión. El grosor de las paredes del corazón aumenta sin un incremento significativo del tamaño total del corazón. Es lo que se denomina hipertrofia concéntrica, es decir, las paredes del corazón crecen en su interior sin aumentar el tamaño del órgano visto desde fuera.
Sin embargo, la realidad es que en la mayoría de deportes y actividades físicas se generan adaptaciones tanto del tamaño como de la distensibilidad, aunque dependiendo de la especialidad y vida deportiva existirá predominancia de una de ellas.
Es importante advertir que estas adaptaciones son reversibles a largo plazo. Con el desentrenamiento en un deporte de élite se reduce tanto el tamaño como el volumen cardiaco casi hasta la normalidad para la edad y el sexo de la persona, pudiendo conseguirse incluso de nuevo una proporción totalmente normal.
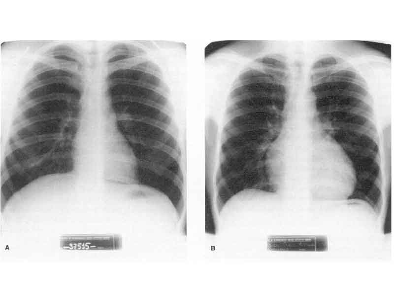
En la imagen superior puedes ver radiografías comparadas del tórax, en las que se aprecia la diferencia de tamaño entre las siluetas cardiacas de un sujeto sedentario (izquierda) y un corredor de maratón (derecha). Tomado de López Chicharro J. y Fernández Vaquero A. "Fisiología del ejercicio". 3ª ed. Panamericana, 2006.
Radiografías comparadas del tórax con las siluetas cardiacas de un sujeto sedentario (izquierda) y un corredor de maratón (derecha)
El corazón en la mujer
La morfología del corazón de las deportistas es la misma que la de los hombres, sin embargo el corazón femenino presenta proporcionalmente un tamaño menor que el masculino. Esto es debido a la influencia de varios factores:
• Menor desarrollo de la caja torácica en la mujer.
• Vísceras de menor tamaño en proporción con las de los varones.
• Repercusión de las hormonas sexuales (estrógenos) sobre el crecimiento del corazón.
Estos factores repercuten en un menor tamaño del músculo cardiaco en relación al peso corporal: entre un 85 y un 90% del tamaño relativo del corazón masculino. Al ser las cavidades cardiacas de menor tamaño, existe también una menor cantidad de sangre y volumen sistólico (cantidad de sangre que expulsa el corazón cada vez que se contrae para igual demanda de oxígeno). El corazón de la mujer se ve obligado a trabajar más, y como su capacidad es menor, lo compensa aumentando su frecuencia cardiaca. De ahí que las mujeres (en igualdad de condiciones) presenten frecuencias cardiacas siempre algo superiores a las de los hombres, entre 5 y 8 pulsaciones más por minuto.

Los latidos por minuto son un indicador del trabajo del corazón a través del que podemos interpretar la intensidad del ejercicio. La FC máxima disminuye con la edad y no se modifica con el ejercicio, pero sí la FC en reposo, que es menor en deportistas, el músculo cardiaco es más eficiente y bombea mayor cantidad de sangre en cada latido. A la misma intensidad, los sujetos sedentarios mantienen una frecuencia cardiaca más elevada.
En una persona bien entrenada, en reposo, debido a que su corazón es de un tamaño y eficacia mayor, la cantidad bombeada es también mayor y esta podría alcanzar unos 120 cc de sangre en cada contracción. Para conseguir su gasto cardiaco en estado de reposo de unos 4,8 litros, el corazón puede latir con menor frecuencia, bajando a unos 40 latidos por minuto.
El trabajo del corazón se verá claramente influenciado por la posición del cuerpo. En la carrera, donde el cuerpo se encuentra en posición vertical, el retorno venoso se ve más dificultado ya que la sangre tiene que ascender por todo el árbol vascular desde el tren inferior hasta llegar de nuevo al corazón. Sin embargo, en las actividades realizadas sentado o en posición horizontal, como la natación, el retorno venoso se verá facilitado, exigiendo menor trabajo al corazón y apreciándose una FC menor.
|
Carrera |
Por la posición vertical y los impactos en cada apoyo, el retorno venoso se ve dificultado. El corazón tiene que realizar un gran trabajo y la FC se ve incrementada mucho más rápidamente. |
|
Elíptica |
No existe impacto, lo que favorece en gran parte el retorno de la sangre. |
|
Remo, bici |
Al estar en una posición sentada y sin impacto, la FC disminuye. |
|
Natación |
La posición es horizontal, la sangre viaja con mucha facilidad por todo el árbol vascular. La FC es significativamente menor. |
No fiarse siempre de la FC
Respecto a la respuesta de la frecuencia cardiaca durante el ejercicio, hay que tener en cuenta, y esto es importante desde un punto de vista práctico, que el tiempo transcurrido a una determinada intensidad va a influir significativamente en las variables relacionadas con el sistema cardiocirculatorio. Así, aunque mantengamos la intensidad (velocidad) constante a lo largo de una o dos horas de actividad, la frecuencia cardiaca irá aumentando progresivamente debido a distintos factores (aumento de la temperatura corporal, de la deshidratación, etc.), lo que hará que esta variable de alguna manera distorsione su utilidad en relación a las referencias que el deportista tuviera antes de comenzar el entrenamiento o la competición. Dicho de otra manera, la frecuencia cardiaca no será una buena referencia de intensidad a partir de aproximadamente la primera o segunda hora de ejercicio o incluso antes.
El test que evalúa tu corazón
¿Está en forma tu músculo cardiaco?
Una buena capacidad de recuperación cardiaca, es decir, que tus pulsaciones bajen lo más rápido posible después de un esfuerzo, es sin duda un signo de buena capacidad aeróbica y de un corazón eficiente con una adecuada respuesta cardiaca y adaptación al ejercicio. Con este sencillo protocolo podrás evaluar tu nivel de forma cardiovascular.
Descripción del test
La prueba consiste en subir y bajar de un escalón de unos 40 cm durante 5 minutos a un ritmo lento pero constante, posteriormente sentarse y tomarse las pulsaciones o bien observarlas a través de un pulsómetro. Anotar el tiempo que ha transcurrido desde que terminamos los 5 minutos hasta que las pulsaciones se encuentran por debajo de 120 ppm. En esta tabla puedes comprobar tu nivel:
|
Muy baja |
120 pulsaciones en más de 4 minutos |
|
Baja |
120 pulsaciones entre 3 y 4 minutos |
|
Suficiente |
120 pulsaciones entre 2 y 3 minutos |
|
Buena |
120 pulsaciones entre 1 y 2 minutos |
|
Muy buena |
120 pulsaciones en menos de 1 minuto |
Frecuencia cardíaca y deporte
- La nariz y la boca se encargan de captar el aire del exterior. La frecuencia respiratoria aumenta.
- El CO2 se transporta a través del retorno venoso que asciende de nuevo hasta el corazón ayudado por las contracciones musculares para ser bombeado a los pulmones y expulsado finalmente al exterior.
- El oxígeno pasa a las células donde junto a los diferentes sustratos energéticos (glucosa y ácidos grasos) se obtiene energía química, agua y dióxido de carbono. La energía química se transforma en energía mecánica produciéndose la contracción muscular necesaria para el movimiento.
- Una vez llega a los pulmones, los alvéolos se encargan de realizar el intercambio gaseoso: el oxígeno pasa a la sangre y se expulsa el dióxido de carbono. Este intercambio gaseoso con el ejercicio mejora la eficiencia en la difusión alveolo-capilar.
- La sangre enriquecida en oxígeno llega al corazón y es enviada a todo el sistema por el ventrículo izquierdo. El músculo cardiaco se adapta al ejercicio convirtiéndose en un músculo más grande, fuerte y potente y mejorando el sistema de bombeo sanguíneo.

Gasto cardiaco frente a frecuencia cardiaca
La eficiencia del sistema cardiocirculatorio se mide por un lado por la sangre que sale del corazón cada minuto, esto es lo que se denomina gasto cardiaco, y por otro por la capacidad del sistema circulatorio (vasos sanguíneos) para llevar la sangre que sale del corazón a todas las células del organismo.
El gasto cardiaco depende del número de veces que se contrae el corazón por minuto (frecuencia cardiaca) y de la sangre que expulsa en cada contracción (volumen sistólico).
El gasto cardiaco se mide en litros por minuto (l/min), la frecuencia cardiaca en latidos por minuto (lpm) y el volumen sistólico en mililitros (ml).
Durante el ejercicio, el corazón llena aún más sus cavidades y lo hace con más frecuencia. El gasto cardiaco puede aumentar desde los 5 l/min en reposo hasta 30 l/min en ejercicio máximo, representando un aumento de hasta 5 o 6 veces sobre el de reposo. La tensión arterial sistólica se eleva hasta el doble que en reposo.
Esta máxima expresión de trabajo del músculo cardiaco se produce a intensidades del 80%.
El gasto cardiaco será mayor conforme aumente la intensidad del ejercicio cardiovascular. Sin embargo, el cuerpo limita el aumento del gasto cardiaco, este límite se denomina gasto cardiaco máximo, es decir, llegará un momento que, aunque aumente más la velocidad de carrera, el gasto cardiaco ya no aumentará, incluso podrá comenzar a disminuir por causa de una también elevada frecuencia cardiaca que no permita el llenado total de las cavidades cardiacas, por ello el corazón expulsará la sangre sin llegar a su llenado completo.
Ejemplo práctico
El gasto cardiaco necesario para soportar un ritmo de 14 km/h (∼4'15" por km) se puede estimar en unos 20 l/min. Si tenemos en cuenta que el gasto cardiaco máximo normal en deportistas de resistencia aeróbica aficionados suele situarse en los 26 l/min, la exigencia de la carrera a esa velocidad se sitúa aproximadamente en el 77% de la máxima capacidad del corazón.
Para esa velocidad, la frecuencia cardiaca media durante la carrera se situará (dependiendo de la edad) entre los 140 y los 160 lpm, lo que supondrá, para un sujeto de 35 años, un ritmo cardiaco correspondiente al 76-87% de la frecuencia cardiaca máxima.
El corazón está comunicado a través del árbol vascular por todo el cuerpo y precisamente por la sangre se encarga de transportar el oxígeno y los nutrientes y de recoger los residuos metabólicos. Su objetivo en el deporte es el de conseguir el mayor consumo de oxígeno, por tanto está fisiológicamente muy unido a otros órganos como los pulmones.
Gasto cardiaco frente a frecuencia cardiaca
La variabilidad de la frecuencia cardiaca
Una valoración de la función del corazón más actual y precisa es la referente a la variabilidad de la frecuencia cardiaca (VFC), tanto en ejercicio como en reposo y antes de levantarnos de la cama por las mañanas. Este parámetro ya se encuentra incorporada en algunos pulsómetros del mercado y es fácil tanto de manejar como de interpretar.
El análisis de la variabilidad de la frecuencia cardiaca informa de las variaciones que se producen entre las distancias (R-R) entre latidos. A frecuencias bajas, existe una ligera variación de milisegundos entre latido y latido, a medida que la intensidad aumenta la frecuencia cardiaca, la variación comienza a hacerse menor hasta que desaparece y se hace constante.
Para controlar los adecuados procesos de recuperación entre sesiones de entrenamiento y prevenir así los estados de sobreentrenamiento, es recomendable medir cada mañana la frecuencia cardiaca de reposo antes de levantarse y/o medir de la misma manera la variabilidad de la frecuencia cardiaca.
• La VFC de un corazón en forma es generalmente elevada en estado de reposo.
• Factores que afectan a la VFC son la edad, los factores genéticos, la posición del cuerpo, la hora del día y el estado de salud.
• La VFC también disminuye durante períodos de agotamiento mental.
• Durante el ejercicio, la VFC disminuye conforme aumenta la frecuencia cardiaca y la intensidad del ejercicio.
Existen pulsómetros en el mercado que miden esta variable del corazón de forma sencilla y que la utilizan para estimar el estado de entrenamiento y otros datos de interés como los márgenes adecuados de trabajo en cada momento y rango de recuperación. Es una buena herramienta a tener en cuenta para optimizar las cargas de trabajo de forma individual y en cada momento.

ESCUCHA AQUÍ COMPLETO EL PÓDCAST "RECUPERA TU MEJOR FORMA CON TU PULSOMETRO"
Suscríbete gratis y no te perderás ningún episodio, estamos en IVOOX, en SPOTIFY y en APPLE PODCASTS.



